APOGEE 1000 NEO
APOGEE 1000 NEO
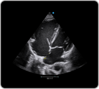
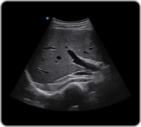
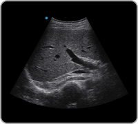
Con la tecnología MFI Apogee 1000 Neo compensa eficazmente la brecha de resolución espacial causada por señales discretas y mejora la precisión de filtrado. Al reducir la distorsión de la señal y eliminar los ruidos no deseados ofrece imágenes de alta calidad con una excelente resolución alto contraste y una mayor penetración.

Mediante la reducción de ruidos y artefactos Nanoview es capaz de presentar pequeñas lesiones al suavizar las imágenes con distintos tejidos y mejorar el borde ayudando a ofrecer resultados de diagnóstico confiable.

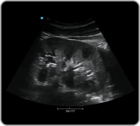
VS-Flow: Basándose en MircoFlow VS-Flow mejora significativamente la sensibilidad y la resolución del flujo sanguíneo lo que ayuda a los médicos a maximizar el valor de la aplicación clínica.
Diseño elegante:monitor LCD flexible mini extensor de escritorio de la sonda carro de lujo mochila de viaje.
– Potente tecnología digital
– Imagen armónica del tejido
– Función única de zoom de alta definición
– Optimización de una sola tecla IP
– Aplicaciones completas
– Paquete completo de medidas